【症例】削らない虫歯治療②
前回は歯と歯の間の削らない虫歯治療についてお話ししましたが、実は奥歯の咬み合う面も虫歯の好発部位になります。
奥歯の咬み合う面には小窩や裂溝という様々な形態の溝があり、そこに虫歯菌が入り込んでしまい内部で虫歯になってしまいます。
最も虫歯になりやすい時期は萌出期間中であり、一般的には6歳~14歳くらいの時です。
そこで今回は「安易に治療しがちな奥歯の咬み合う面」の削らない虫歯治療についてお話していきたいと思います。
まず、虫歯のメカニズムについて簡単に解説します。
お口の中のばい菌は放置すると、約24時間で「プラーク」というばい菌の集合体をつくります。
そのプラークの中にいる虫歯菌が出す酸による歯の脱灰(歯が溶ける)と唾液中のリン酸塩やカルシウムによる再石灰化(歯の修復)のバランスが崩れた時に起こるのが虫歯です。
歯の修復スピードよりも歯が溶けるスピードが速ければ、歯に穴があいてしまうということです。
通常、再石灰化スピードに比べて脱灰のスピードの方が速いため、いかに再石灰化の時間を多くとるかが虫歯予防の重要なポイントになります。
虫歯予防するには原因である「プラーク」を歯ブラシやフロス等で取り除くことが重要であるのは言うまでもありませんが、食事の仕方にも気を付けなければなりません。
食事や間食(糖質の摂取)をするとそのたびにお口の中が酸性となり歯が溶けやすい環境となりますが、食事が終わってから約1時間すると唾液の力により元の虫歯になりにくい環境へと戻ります。
元に戻るのには長い時間がかかってしまうのがポイントで、例えば、朝・昼・夕食の合間に1時間おきに飲食をしてしまうと、12時間以上お口の中が酸性となりその間中ずっと歯が脱灰されてしまいます。
このように「ダラダラ食べたり、飲んだり」が習慣化している人は虫歯のリスクが高くなります。
通常プラークコントロールや糖質制限を行えば虫歯は予防できます。
しかし、小窩や裂溝の虫歯の場合は溝が深く狭いため、歯ブラシ等でのコントロールが困難でプラークが蓄積しやすく、気を付けていても虫歯になってしまう事があるでしょう。
更に「ダラダラ食べたり、飲んだり」があればそのスピードは速まります。
さて、今回そんな好発部位でも脱灰と再石灰化のバランスが保たれている場合、虫歯の進行が停止していて治療の必要がない場合があるので紹介します。
このような場合、小窩や裂溝は外来色素を取り込んで黒く変色します。
そして歯が黒いことに気が付いた患者さんは治療を希望し来院します。
しかし、治療の必要がない場合があるのです。
日常的に歯を注意深く観察していると、そのような状態の歯には頻繁に遭遇します。
では実際にはどのような状態なのか、症例を見ていきましょう。
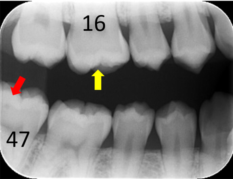
症例① 上顎大臼歯 小窩や裂溝の虫歯 20歳女性
※小窩や裂溝:歯の咬み合せ面にある複雑なくぼみや溝のこと
初診時口腔内写真 |
![]() 初診時レントゲン写真 |
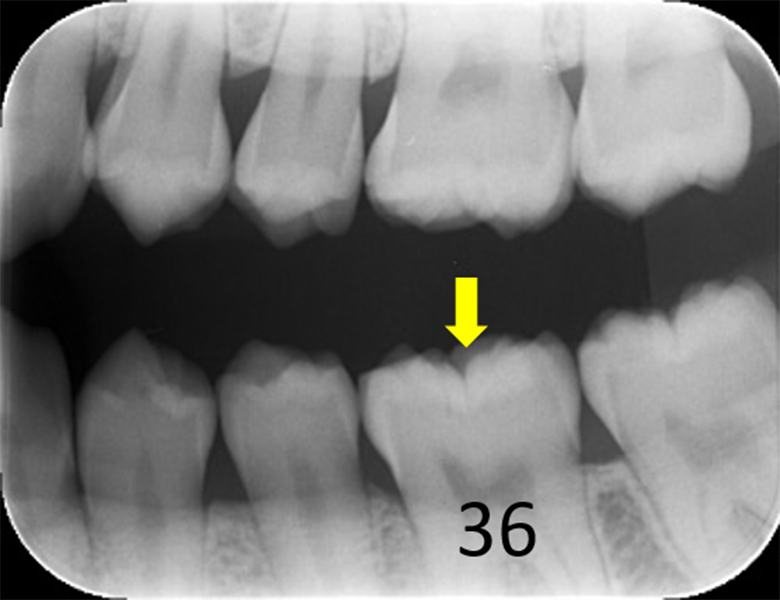
症例② 下顎大臼歯 小窩や裂溝の虫歯 20歳女性
初診時口腔内写真 |
![]() 初診時レントゲン写真 |
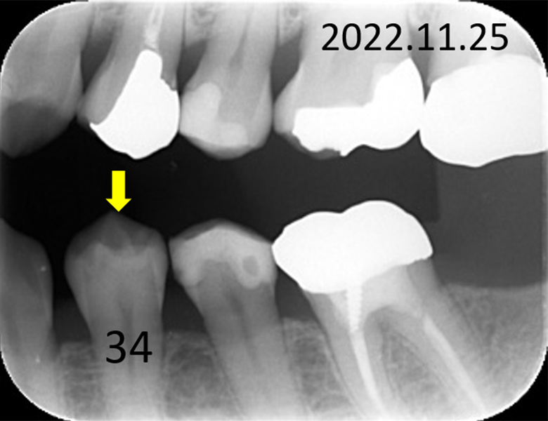
症例③ 下顎小臼歯 小窩や裂溝の虫歯 54歳女性
初診時口腔内写真 |
![]() 初診時レントゲン写真 |
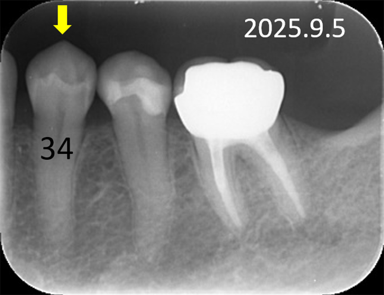
約3年後の口腔内写真 |
![]() 約3年後のレントゲン写真 |
このように歯の咬み合う面が虫歯の場合、患者さんが発見することも多く、治療を希望されることがよくあります。
しかし、黒いからと言って安易に歯を削り治療することで、それまでトラブルがなかった歯がトラブルを起こしやすい歯へと変化してしまいます。
たとえ虫歯であっても状態が維持されるのであれば治療の必要はありません。
そして、もし10年後、20年後も変化がなければ治療の必要はなかったと気付かせてくれるでしょう。
歯は一度削ったら二度と元には戻りません。
小さな虫歯であっても安易に治療せず、適切に診査診断を行うことで歯を守ることが出来るのです。
症例①②
主訴 |
正しい口腔ケアを知り、健康的になりたい。 |
診断 |
上下大臼歯の初期虫歯 |
治療 |
経過観察 |
期間 |
経過観察中 |
費用 |
0円 |
治療リスク |
虫歯進行の可能性 |
症例③
主訴 |
正しい口腔ケアを知り、健康的になりたい。 |
診断 |
下小臼歯の初期虫歯 |
治療 |
経過観察 |
期間 |
経過観察中 |
費用 |
0円 |
治療リスク |
虫歯進行の可能性 |
ライフケアデンタルオフィス:https://life-care.dental/
〒132-0033 東京都江戸川区東小松川2-33-26
電話:03-5661-2525
交通アクセス
都営新宿線線船堀駅 バス5分
最寄りのバス停:東小松川2丁目



