歯のすり減りの原因になる摩耗症と咬耗症の違いを解説
2025/10/20

こんにちは。船堀(東京都江戸川区)の歯医者、ライフケアデンタルオフィスです。
「Tooth Wear(トゥースウェア)」という言葉を聞いたことがあるでしょうか。
これは、物理的または化学的な作用によって歯の硬い組織が徐々に失われていく状態を指します。
自覚症状が少ないまま進行することが多く、気がついたときには歯の形が変わっていたり、知覚過敏やかみにくさといった症状が出たりするケースも少なくありません。
今回は、Tooth Wearの基礎知識と症状や原因、治療法や予防法について解説します。
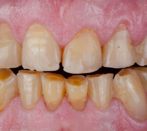
Tooth Wearとは
Tooth Wearとは、非細菌性で慢性的に進行する歯の硬組織欠損の総称です。
硬組織とは、歯の表面を覆うエナメル質や、その内側の象牙質、さらに歯の根元を覆うセメント質を指します。
これらの組織が、物理的な摩擦や化学的な腐食などによって徐々に失われていく状態がTooth Wearです。
Tooth Wearには、くさび状欠損、咬耗症、摩耗症、酸蝕症といった分類があります。
原因としては、過剰なかむ力や歯ぎしり、ブラッシングによる過剰な圧力、酸性の食品・飲料の頻繁な摂取などがあり、一度進行すると自然に元に戻ることはないため、早期発見と予防が重要です。
生活習慣の見直しや歯科治療により、進行を抑えることができます。
Tooth Wearの種類
くさび状欠損

くさび状欠損は、虫歯に次いで多く見られる歯の硬組織疾患で、特に上の奥歯の歯と歯ぐきの境目付近に発生します。
エナメル質や象牙質が部分的に欠け、断面がくさびのような三角形の形状になることから、この名前がついています。
原因は主に二つあり、一つは強い咬合力、もう一つは不適切なブラッシングです。
歯ぎしりや食いしばりを繰り返すことで、微細なひびが生じて欠損が進行します。
また、硬い毛の歯ブラシで強く磨く習慣があると、長期間の摩擦によって歯が削られていくこともあります。
くさび状欠損は知覚過敏と併発することが多く、「冷たい水がしみる」という症状で初めて気づく方も少なくありません。
治療は、欠損が大きければレジンなどを用いて埋め、歯の形態と機能を補います。
欠損が小さく症状もない場合は、原因を取り除くことを優先して経過観察を行います。
咬耗症

咬耗症は、歯と歯、または歯と食べ物との接触によって歯のかむ面がすり減っている状態です。
硬い食べ物の頻繁な摂取や強い咬合力などが主な原因となっており、特に食いしばりや歯ぎしりの習慣がある方は、咬耗の進行が加速する傾向があります。
ただし、咬耗症は必ずしも病的とは限らず、年齢を重ねればほとんどの人にある程度見られる自然な現象でもあります。
問題となるのは摩耗の程度と症状の有無であり、咀嚼機能や審美性に影響を及ぼす場合には治療が必要となりますが、見た目上特に気にならず、症状がない摩耗については経過を観察しても問題ありません。
治療としては、摩耗が大きくかみ合わせに影響している場合には、レジンで欠損部を補修し形態を補います。
また、歯ぎしりや食いしばりが原因の場合は、ナイトガードの装着によって進行を予防します。
生活習慣の見直しと予防措置を組み合わせることが、咬耗症の管理において重要です。
摩耗症
摩耗症は、咬合以外の力で歯がすり減っている状態です。
原因としては、不適切な歯ブラシの使い方や、パイプをくわえる習慣、管楽器の演奏によるマウスピースの圧迫などがあります。
摩耗症では、特定の部位が繰り返し機械的な刺激を受けるため、歯の表面が局所的に摩耗し、時には象牙質まで露出します。
治療はまず原因の除去が基本です。
歯ブラシの硬さやブラッシング圧を見直すなど、原因に合わせた対処を行い、症状の進行を食い止めます。
また、原因が趣味や職業にある場合には、可能な範囲で使用方法や器具を調整・改良するようにします。
必要に応じて、摩耗部をレジンで補修し、歯質の保護と見た目の回復を図ります。
酸蝕症

酸蝕症は、酸によって歯の表面が溶けてしまう疾患です。
代表的な原因は、炭酸飲料やスポーツドリンク、柑橘類、ワインなどの酸性食品・飲料の過剰摂取です。
これらを頻繁に口にする場合、歯の表面のpHが低下し、エナメル質のミネラルが溶けだしやすくなります。
また、逆流性食道炎や摂食障害などにより胃酸が口腔内に上がってくるケースでも、酸蝕症は発生します。
酸蝕症の治療では、まずは原因の特定と除去をする必要があります。
酸性飲料が原因となっている場合には、飲む量を減らす、飲む場合はストローを使う、飲んだ後には口をゆすぐなどの工夫を行います。
Tooth Wearの検査方法

Tooth Wearの診断では、歯の形態変化、表面の光沢の有無、象牙質の露出などを確認します。
さらに、生活習慣や食生活、歯ぎしり・食いしばりの有無、酸性食品や飲料の摂取頻度、全身疾患の有無などもヒアリングします。
必要に応じて、模型作製や口腔内写真撮影で経時的変化を記録して進行度を評価したり、咬合状態を調べるために咬合紙やデジタル機器を用いたりすることもあります。
Tooth Wearの予防・治療法

Tooth Wearの予防において重要なのは、原因となっている習慣の改善です。
歯ぎしりや食いしばりが関係している場合には、就寝時にマウスピースを装着することで歯への負担を軽減します。
歯磨きが原因となっている場合には、歯ブラシの選び方や磨き方を見直すことが大切です。
酸蝕症に関しては、酸性食品や飲料の摂取頻度を減らすなど、食生活の見直しをする必要があります。
治療法は欠損部の大きさや症状の有無によって異なります。
小さな欠損であればコンポジットレジンなどの接着性材料を用いて形態を修復し、大きな欠損や咬合面の広範囲な損傷がある場合には、歯全体を覆うかぶせ物で形を補います。
まとめ

Tooth Wearは、物理的あるいは化学的な作用によって歯の硬組織が慢性的に失われていく状態です。
くさび状欠損、咬耗症、摩耗症、酸蝕症といった種類があり、それぞれ発症に至った原因や進行状況に基づいて生活習慣の改善やマウスピースの装着、修復治療などが行われます。
歯は一度削られてしまうと元には戻らないため、早期発見と予防がとても重要です。
日々のケアや食生活を見直し、歯科医院での定期的なチェックを欠かさないことで、Tooth Wearの進行を防ぎ、健康な歯を守っていきましょう。
ライフケアデンタルオフィス:https://life-care.dental/
〒132-0033 東京都江戸川区東小松川2-33-26
電話:03-5661-2525
交通アクセス
都営新宿線線船堀駅 バス5分
最寄りのバス停:東小松川2丁目